General / Emergency Dental Care

Emergency Dental Care

Emergency Dental Care at Ashley Mooney, DDS in Batavia, NY

Dental emergencies can happen unexpectedly, and when they do, you need prompt, professional care to relieve pain and protect your oral health. At Ashley Mooney, DDS, we provide comprehensive emergency dental care in Batavia, NY, to address urgent dental issues and help you get back to your normal routine as quickly as possible.

Extractions

What is Considered a Dental Emergency?

Emergency Dentist in Batavia, NY | Ashley Mooney, DDS

Dental emergencies can range from sudden pain to accidents that damage your teeth or gums. If you experience any of the following, it’s important to seek immediate dental care:

  • Severe Tooth Pain: Persistent or sharp pain that won’t go away could be a sign of infection or nerve damage.
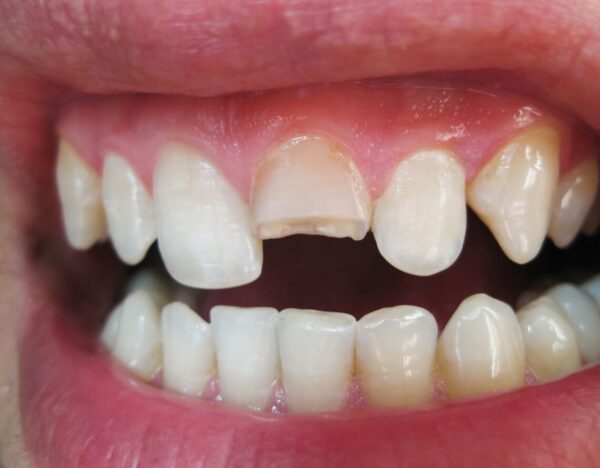
  • Broken or Chipped Teeth: Accidents or trauma that cause teeth to break or chip need prompt attention to prevent further damage or infection.
  • Knocked-Out Tooth: If a tooth is knocked out, acting quickly can help save the tooth and restore your smile.
  • Loose Teeth: If your tooth feels loose without a known cause, it could be due to an underlying issue like gum disease or injury.
  • Abscessed Tooth: A serious infection in the tooth or gums, which can cause pain, swelling, and even fever, requires immediate treatment.
  • Lost Filling or Crown: Losing a filling or crown can expose the tooth to damage and discomfort.
 

What to Do in a Dental Emergency

Emergency Dentist in Batavia, NY | Ashley Mooney, DDS

If you’re facing a dental emergency, here are some steps you can take before coming to our office:

Toothache: Rinse your mouth with warm water and use a cold compress to reduce swelling. Avoid applying aspirin directly to the tooth or gum.

Knocked-Out Tooth: Try to gently place the tooth back in the socket without touching the root. If that’s not possible, keep the tooth in milk or a tooth preservation solution and visit us immediately.

Broken Tooth: Rinse your mouth with warm water, save any pieces of the tooth, and apply a cold compress to reduce swelling.

Lost Filling or Crown: Keep the area clean and use dental cement (available at most drugstores) to cover the exposed area until you can come in.

Extractions

At Ashley Mooney, DDS, we are dedicated to providing fast, reliable care when you need it most. With a compassionate team and the latest dental technology, we ensure that your dental emergency is handled efficiently and effectively. Our focus is on relieving your pain, restoring your oral health, and providing long-term solutions to prevent future problems.

If you want to learn more about our General Dentistry services, schedule an appointment or give us a call at (585) 343-8675!

We can’t wait to meet you.

Scroll to Top